Was ist
All-on-4 und/oder Pro Arch?
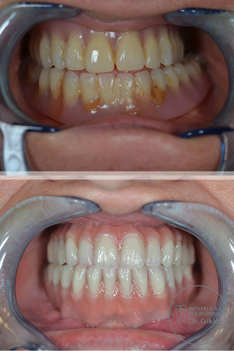
Eine lebensverändernde Behandlung! All on 4 und Pro Arch sind zwei verwandte implantat-prothetische Konzepte, die Patient:innen ohne Zähne ihr Lächeln in 24 Stunden zurückbringen, und sie werden nach der Implantatart unterschieden:
- All on 4 Nobel Biocare-Implantate
- Pro Arch – Straumann group-Implantate.
Das Konzept erfordert den Aufbau von 4 Zahnimplantaten und einen festsitzenden Zahnersatz, der im Mund bleibt – alles an einem Tag. Diese Art von Rehabilitation des ganzen Kiefers ist wissenschaftlich nachgewiesen, wird schon 25 Jahre weltweit angewandt und ist den Patient:innen angepasst. All on 4 wurde von dr. Paulo Malo erfunden und das erste Mal 1998 durchgeführt.
Das ist ein sicherer und verlässlicher Behandlungskonzept. Den neuesten Zahlen zufolge sind 95 % der Patient:innen mit dem Eingriff zufrieden. Diese Methode hat mehr als 250 000 neuer Lächeln erschaffen. Die Überlebensrate der Implantate und des festsitzenden Zahnersatzes liegt bei 98 %.


Prof. Paulo Malo, creator of the All-on-4 technique.

Wie wird
All on 4 und/oder Pro Arch durchgeführt?
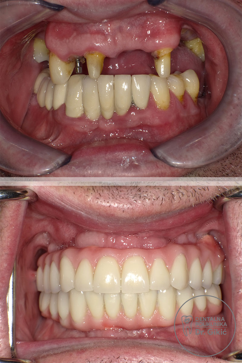
Die Behandlung wird in 2 Phasen durchgeführt:
- Phase – Operation, die den Aufbau der Implantate und eines temporären festsitzenden Zahnersatzes mit 10 Zähnen umfasst (die Zahnbrücke bleibt im Mund)
- Phase – definitive Arbeit, die ein gefrästes Titangerüst und 12 Zähne in der Brücke eines Kiefers umfasst
Zwischen der ersten und der zweiten Phase müssen 6 Monate vergehen.




Vorteile – All on 4 und/oder Pro Arch-Methode
- ohne Sinuslift und Knochenaufbau
- feste Zähne an einem Tag und bei einem Besuch
- Methode, die bei allen Patient:innen anwendbar ist
- dauerhafte Lösung
- deutlich günstiger als die klassische Implantatbehandlung
- natürliches Aussehen der Zähne und leichte Mundhygiene
- schnelle Erholung und deutliche Verbesserung der Lebensqualität
Für wen sind All-on-4 und/oder Pro Arch geeignet?
- für Patient:innen mit einer Zahnprothese
- für Patient:innen, die schon länger einen festsitzenden Zahnersatz haben und eine neue Zahnbrücke brauchen
- für Patient:innen, die wegen Parodontalerkrankung lockere Zähne haben
- für Patient:innen, die keine Prothese, sondern einen festen Zahnersatz wollen
- für Patient:innen, denen gesagt wurde, sie können keinen festen Zahnersatz auf Implantaten bekommen

Heute gibt es keinen Patienten, der keine feste Zähne haben kann, wenigstens bei uns in der Ozaljska 128.



Was macht uns anders?
Dr. Matija Gikić machte seine Ausbildung an den angesehensten Zentren und Kliniken der Welt, von Tokio bis New York, wo er wertvolle Erkenntnisse von den größten Fachexperten gesammelt hat.
Wir halten uns streng an das Protokoll. Komplizierte Fälle gehören zu unserem Alltag. Wir sind für den Knochenaufbau des Ober- und Unterkiefers spezialisiert – alles an einem Tag. Alle chirurgischen Eingriffe werden vom Spezialisten der Oralchirurgie durchgeführt.
Wir führen den All-on-4-Eingriff länger als 10 Jahre durch, wobei wir fundierte Kenntnisse gesammelt haben. Gerade dank dieser Methode und dem Zygoma-Konzept sind wir in Kroatien und weltweit bekannt. Wir zählen mehr als 600 All-on-4 Operationen.
Unsere Spezialität sind Eingriffe bei gefährdeten Patient:innen (Knochenmangel, Diabetes, Raucher, Osteoporose). An uns wenden sich Patient:innen, die an anderen Kliniken nicht angenommen werden. Wir behandeln Patient:innen, die bei Anderen keinen festen Zahnersatz auf Implantaten bekommen können (für sie sind sie keine passende Kandidat:innen). Hier gehören auch Patient:innen, die auch früher Implantate hatten, aber heute keine haben).
Die Poliklinik Gikić bietet ein breites Sortiment an Behandlungen für jeden Fall an – von den einfachsten (Zahnextraktion, Einbau von Implantaten) zu den anspruchsvollsten (Knochentransplantation, Einbau von Zygoma-Implantaten, Mund- und Kieferrehabilitation bei PatientInnen ohne Knochen).
So erreichen Sie uns
Ozaljska 128, Zagreb, Kroatien
ANKUNFT MIT DER STRAßENBAHN
Wir sind 50 Meter von der Haltestelle ‚Selska‘ entfernt (Linien 3, 9, 12). Der Wendeplatz ‚Remiza‘ ist ca. hundert Meter entfernt.
ANKUNFT MIT DEM BUS
Von der Haltestelle ‚Selska-Ozaljska‘, die man mit der Linie 109 Črnomerec/Dugave Richtung Ljubljanica/Remiza erreicht, sind wir ca. 100 Meter entfernt.
ANKUNFT MIT DEM AUTO – PARKPLÄTZE
Befristeter kostenloser Parkplatz auf beiden Seiten der Straße Ozaljska ulica, 2 Behindertenparkplätze vor dem Eingang in die Poliklinik.
PARKPLÄTZE IN DER NÄHE
Straße Učkina (Učkina ulica) – neben dem Verkehrsweg Ozaljska
Straße Puljska (Puljska ulica) – neben dem Verkehrsweg Ozaljska
KONTAKT