Transparente Zahnspange ClearCorrect
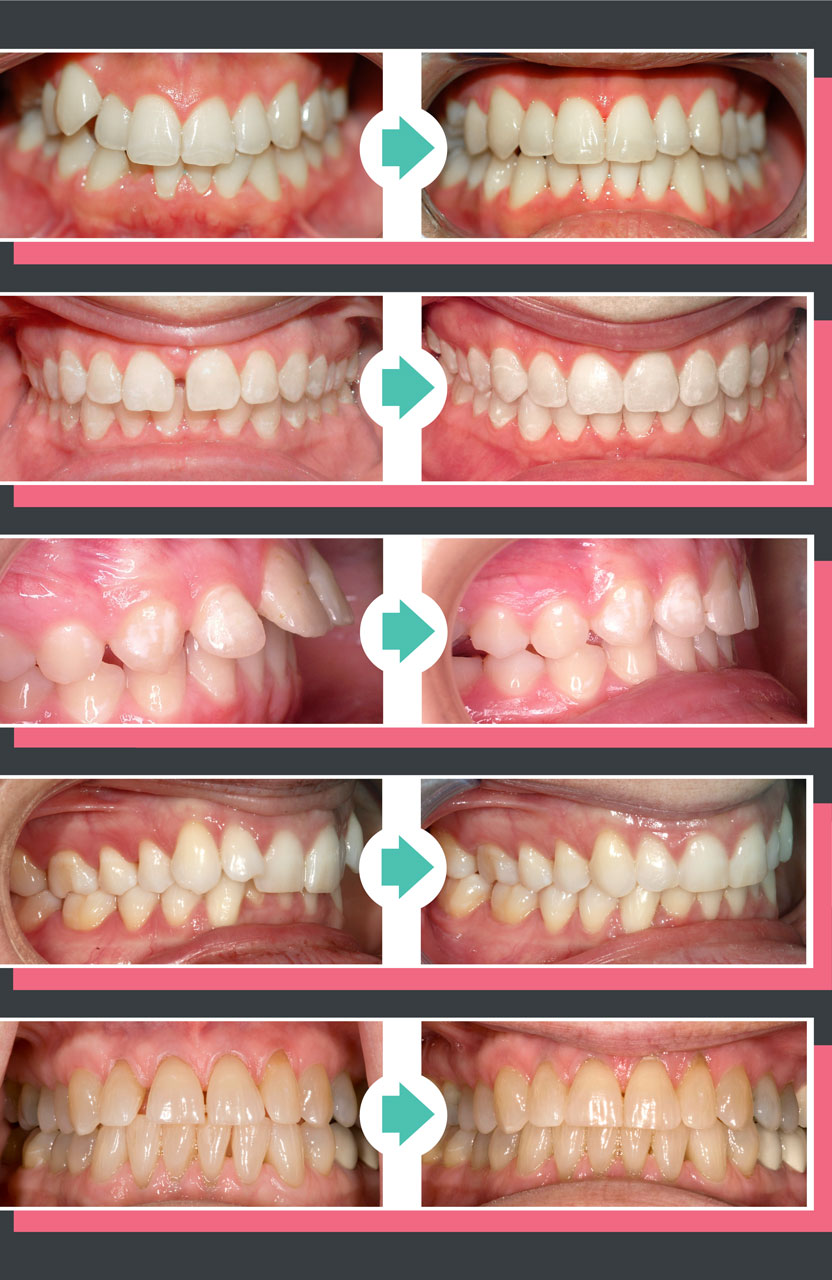
Die durchsichtige Zahnspange ist eine immer mehr populäre Zahnkorrekturmethode, weil es das äußere Erscheinungsbild nicht beeinträchtigt. Zahnkorrektur ist nicht nur eine Frage der Gesichtsästhetik. Gerade Zähne versichern:
- eine gute Bissfunktion
- eine korrekte Aussprache
- eine einfache Mundhygiene
Heute gibt es mehrere Arten der Zahnkorrektur. Die traditionelle Zahnkorrekturmethode impliziert eine Zahnspange mit Metall, Brackets und Bogen. Obwohl so eine Zahnspange erfolgreich in Zahnkorrektur ist, beeinträchtigt sie deutlich das Aussehen, weswegen heutzutage immer mehr Patient:innen andere Methoden in der Orthodontie bevorzugen.


Transparente Zahnspange –Kieferorthopädie der Zukunft
Unsichtbare Kieferorthopädie impliziert ein System, das mithilfe des Scanners 3Shape Trios5 einen digitalen Abdruck erstellt und in einer besonderen Software digital die Therapie plant, um individuelle Schienen (sog. Clear Aligner) zu erstellen.
Die Poliklinik Gikić wendet unsichtbare Methoden der Kieferorthopädie an. Wir fingen mit dem Invisalign-System an und heute benutzen wir ClearCorrect, das von der Straumann Group hergestellt wird.
Warum gerade diese Art von Clear Aligner?
ClearCorrect half mehr als einer halben Million Menschen bei der Zahnkorrektur.
Was ist ClearCorrect?
ClearCorrect stammt aus den USA und ist genauso wirksam wie Invisalign, das den größten Fortschritt in Clear Aligner gemacht hat. Das ist eine kieferorthopädische Methode, die dank den individuell hergestellten Schienen aus mehr Schichten Kunststoff (klinisch nachgewiesen) bei der Zahnkorrektur hilft. Sie wurde aufgrund langjähriger Forschungen und Untersuchungen entworfen. Das Ergebnis ist ein durchsichtiger, dem Auge fast unsichtbarer Aligner, der erfolgreich die Zähne bewegt.

Behandlungsverlauf– Wie korrigiert die transparente Zahnspange die Zähne?
- Erstuntersuchung – wir machen die RTG-Diagnostik, das Fotografieren und digitales Scannen, im Gespräch erfahren wir die Wünsche und Erwartungen der Patient:innen.
- Zweiter Termin – wir erklären den Behandlungsverlauf und demonstrieren die 3D-Simulation in der Software, sprechen darüber, was machbar ist und wie das Lächeln am Ende aussehen wird.
- Alignerherstellung in der Herstellerfabrik aufgrund des digitalen Zahnabdrucks.
- Der Patient übernimmt das individuell hergestellte Schienenset.
- Aktive Behandlungsphase – der Patient setzt selbst die Schienen ein und wechselt sie. Jede Schiene trägt man 14 Tage (4 Tage für den Druck und 10 Tage für die Retention) minimal 22 Stunden täglich. Man nimmt sie vor dem Essen und dem Zähneputzen heraus. Der ständige Druck fördert den Körper bei der Aktivation der Zellen, die bei Knochenaufbau teilnehmen – die Osteoklasten. Die Zähne fangen schon nach 2 Tage an sich zu bewegen. Pro Woche beträgt das 0.3 mm.
- Regelmäßige Gesundheitsuntersuchung.
- Die letzte aktive Phase der Zahnkorrektur endet und die Retentionsphase fängt an – es werden Retainer für die Zahnkorrektur an der neuen Position erstellt. Die Retention ist der wichtigste Behandlungsteil, weil Zähne dazu neigen, sich während des Lebens weiterzubewegen.
ClearCorrect – Vorteile
- Stärkt das Selbstbewusstsein.
- Komplette Kontrolle über die Zahnbewegungen.
- Der Aligner ist fast unsichtbar. Die meisten Menschen werden den Aligner überhaupt nicht bemerken.
- Er ist den Zähnen angepasst.
- Er beeinflusst nicht den Alltag.
- Eine einfache Mundhygiene
- Keine Einschränkungen bei der Auswahl der Nahrungsmittel.
- Die Zahnspange ist leicht einzusetzen und zu wechseln.
- Einfache Reinigung der Zahnspange.
- Die Chancen für die Entstehung von Karies sind minimal.
Für wen ist eine transparente Zahnspange geeignet?
- für alle, die ihre Zähne so diskret wie möglich korrigieren möchten
- für alle, die Abstand zwischen den Zähnen haben
- für alle, die einen Zahnengstand haben
- für alle, die einen Tiefbiss haben
- für alle, die einen Kreuzbiss haben



Was macht uns anders?
- Drei Jahre eines Postdiplomstudiums an der Donau-Universität Krems, Österreich
- Zwei Jahre eines Postdiplomstudiums an der Akadamie FACE in San Sebastian, Spanien
- Clear Aligner-Fortbildungen: MASTERCOIP beim Dr. Diego Pedro und Dr. Ivan Malagon in Madrid, Spanien
- ClearCorrect – Zagreb
Für die Beschleunigung der Behandlung nutzen wir Kortikotomie (kleiner chirurgischer Eingriff über den Dr. Gikić seine Masterarbeit gemacht hat).
So erreichen Sie uns
Ozaljska 128, Zagreb, Kroatien
ANKUNFT MIT DER STRAßENBAHN
Wir sind 50 Meter von der Haltestelle ‚Selska‘ entfernt (Linien 3, 9, 12). Der Wendeplatz ‚Remiza‘ ist ca. hundert Meter entfernt.
ANKUNFT MIT DEM BUS
Von der Haltestelle ‚Selska-Ozaljska‘, die man mit der Linie 109 Črnomerec/Dugave Richtung Ljubljanica/Remiza erreicht, sind wir ca. 100 Meter entfernt.
ANKUNFT MIT DEM AUTO – PARKPLÄTZE
Befristeter kostenloser Parkplatz auf beiden Seiten der Straße Ozaljska ulica, 2 Behindertenparkplätze vor dem Eingang in die Poliklinik.
PARKPLÄTZE IN DER NÄHE
Straße Učkina (Učkina ulica) – neben dem Verkehrsweg Ozaljska
Straße Puljska (Puljska ulica) – neben dem Verkehrsweg Ozaljska
KONTAKT