Zahnkronen, Zahnbrücken, Veneers
Die Zahnprothetik ist ein medizinisches Fachgebiet der Zahnheilkunde, das die Herstellung prothetischer Ausfertigungen umfasst: Zahnkronen, Zahnbrücken, Veneers, Prothesen und Zahnprovisorien. Mithilfe prothetischer Ausfertigungen werden gleichzeitig die ästhetischen, funktionellen, phonetischen und sozialen Anforderungen des Patienten erfüllt.
Zahnprothetik in derZahnpoliklinik Gikić
Die Zahnpoliklinik Gikić verfügt über das modernste digitale Dentallabor. Hier wird Zahnprothetik angefertigt für:
- die Bedürfnisse eigener Patienten
- den Bedarf externer Zahnarztpraxen und Polikliniken.
Der ganze Prozess – Entwurf und Gestaltung – Ihres neuen Lächelns findet in unserer Zahnpoliklinik statt. Somit haben wir jederzeit die Kontrolle über die Qualität und den Zeitaufwand für die Herstellung der Zahnprothetik.



Zahnprothetik –Materialien
Die Zahnpoliklinik Gikić stellt in ihrem Labor Zahnkronen aus den hochwertigsten Materialien der Marke Ivoclar her:
- PMMA – CAD-CAM – für provisorische festsitzende Zahnprothetik: Zahnkrone, Zahnbrücke, Veneers
- IPS e.max – Lithium-Disilikat-Glaskeramik für: Zahnkronen, Zahnbrücken, Veneers
- IPS e.max ZirCAD Prime – hochfestes Zirkonoxid für: Zahnkronen, Zahnbrücken, Veneers
- IPS e.max ZirCAD Prime Esthetic – für eine hochwertige Ästhetik des Lächelns
- IPS Empress CAD – für: Zahnkronen, Zahnbrücken, Veneers, Keramikfüllungen /-Plomben (Inlay, Onlay, Overlay)


Was sind
Zahnkronen und Zahnbrücken?
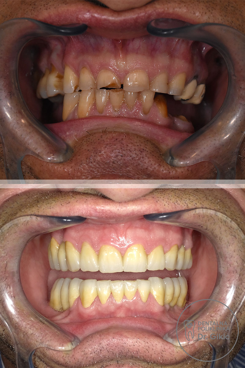
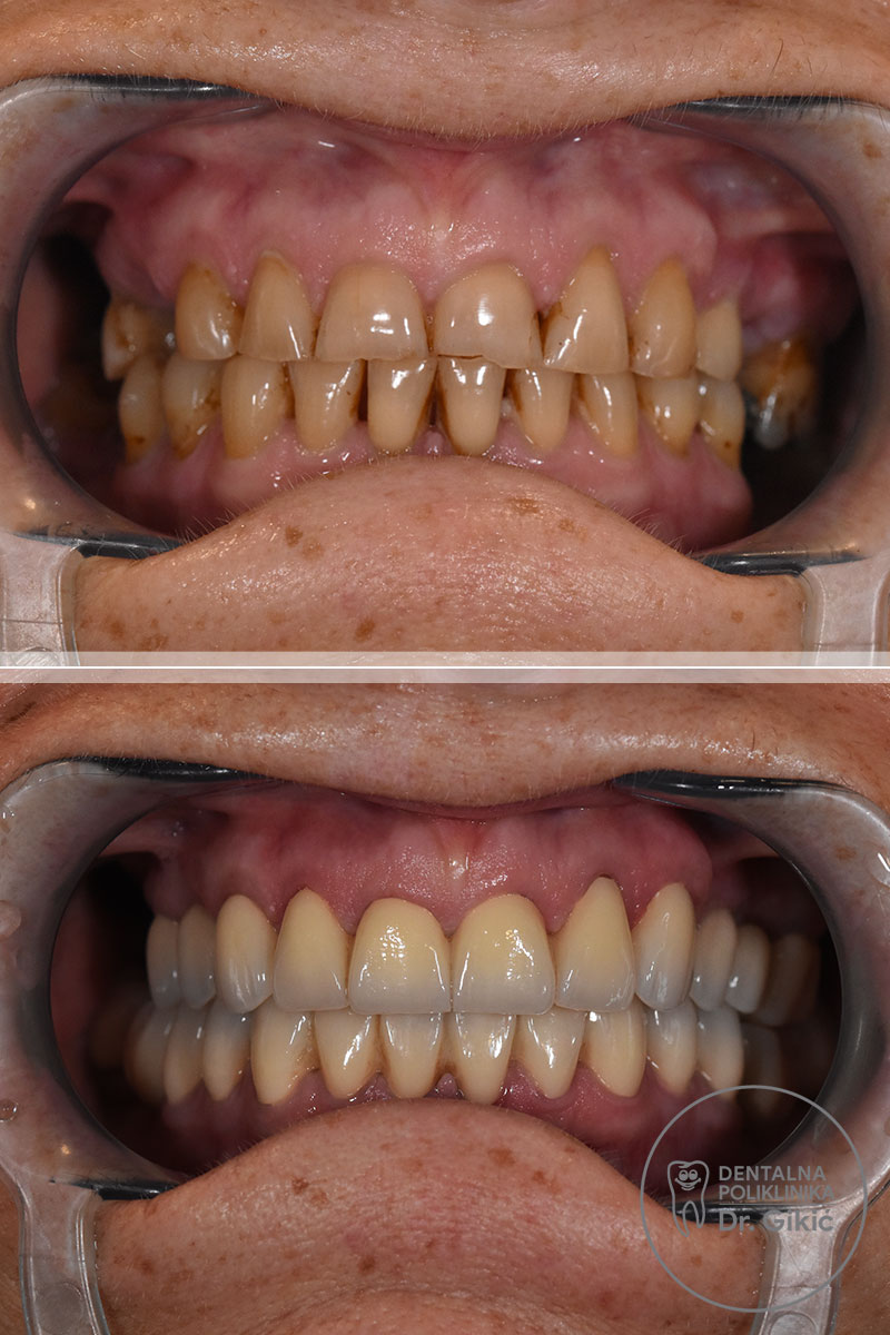
Zahnkronen sind Abdeckungen, die auf beschädigten Zähnen oder auf Implantaten angebracht werden, um den Zahn zu schützen, seine Funktion und Form wiederherzustellen, wenn Füllungen das Problem nicht lösen können. Sie können einzeln oder in einer Brücke hergestellt werden. Es gibt verschiedene Arten von Kronen: Endokrone, Vollkrone, Teilkrone (3/4), Standardkrone für den ganzen Zahn und Overlay.
Eine Zahnbrücke ist eine prothetische Ausfertigung, bei der mehrere Kronen zu einer Einheit zusammengefügt werden.
Es gibt:
- kleine Brücken – (dreigliedrige Brücke zum Ersatz eines Zahns, 2 Brückenanker und 1 Brückenglied dazwischen)
- große Brücken – überbrücken große Spannweiten oder decken den gesamten Zahnbogen ab.




Vorteile – Zahnprothetik in unserer Zahnpoliklinik
- hohes Maß an Sicherheit des von uns verwendeten Materials – Ivoclar
- deckt alle Situationen ab – von Einzelkronen bis hin zu Brücken mit großer Spannweite
- ideale Materialeigenschaften – Festigkeit und Ästhetik natürlicher Zähne
- minimalinvasive Restaurationen – Zähne werden minimal reduziert, nur so viel wie nötig
- außergewöhnliche Ästhetik – hochwertige Restaurationen mit makelloser natürlicher Farbe
- natürlich aussehende Kronen – Transparenz und Transluzenz natürlicher Zähne
- einfache Aufrechterhaltung der Mundhygiene
- fester und sicherer Biss
- Garantie auf unsere Zahnprothetik

Für wen ist eine Zahnkrone oder eine Zahnbrücke die beste Lösung?
- Patienten mit beschädigten Zähnen
- Patienten, die einen gebrochenen oder stark abgenutzten Zahn ersetzen müssen
- Patienten, die aufgrund verfärbter Zähne die Ästhetik ihres Lächelns verbessern möchten
- Patienten, denen ein oder mehrere Zähne fehlen
- Patienten, die einen behandelten Zahn haben, der nicht mit einer Füllung repariert werden kann


Dr. Maxim Belograd, Spezialist im Bereich der fortgeschrittenen mikroskopischen Zahnheilkunde.
Was macht uns besonders?
Wir zeichnen uns durch unsere Ausbildung, zahlreiche mehrtägige individuelle klinische Kurse Europa- und weltweit aus, sowohl durch unsere Ärzte als auch durch unsere Zahntechniker.
Wir gehen jede Phase des Prozesses mit größter Aufmerksamkeit an, von der Erstellung eines digitalen Abdrucks mit dem 3Shape Trios5-Scanner, dem Entwurf in der exocad-Software, dem Schleifen mit Comet-Diamantbohrern, dem Drucken der Zahnprovisorien – Prototypen – mit einem Asiga-Drucker bis hin zur Herstellung von gefrästen Zahnkronen, Zahnbrücken und Veneers mit dem PrograMill PM7-Gerät und abschließender Ausarbeitung der Zähne des Patienten in unserem Labor. Unser Zahntechniker führt die Arbeiten individuell am Patienten durch und nicht an einem Gipsmodell. So passt die Zahnprothetik optimal zum Erscheinungsbild des Gesichts und zum Gesamteindruck.
Zahnprothetik ist ein wichtiger Bestandteil des gesamten Therapieprozesses. Neue Zähne sollen vollkommen natürlich aussehen, denn sie sind das Erste, was andere an uns bemerken. Unsere engeren Spezialgebiete sind Implantologie und Zahnprothetik.
So erreichen Sie uns
Ozaljska 128, Zagreb, Kroatien
ANKUNFT MIT DER STRAßENBAHN
Wir sind 50 Meter von der Haltestelle ‚Selska‘ entfernt (Linien 3, 9, 12). Der Wendeplatz ‚Remiza‘ ist ca. hundert Meter entfernt.
ANKUNFT MIT DEM BUS
Von der Haltestelle ‚Selska-Ozaljska‘, die man mit der Linie 109 Črnomerec/Dugave Richtung Ljubljanica/Remiza erreicht, sind wir ca. 100 Meter entfernt.
ANKUNFT MIT DEM AUTO – PARKPLÄTZE
Befristeter kostenloser Parkplatz auf beiden Seiten der Straße Ozaljska ulica, 2 Behindertenparkplätze vor dem Eingang in die Poliklinik.
PARKPLÄTZE IN DER NÄHE
Straße Učkina (Učkina ulica) – neben dem Verkehrsweg Ozaljska
Straße Puljska (Puljska ulica) – neben dem Verkehrsweg Ozaljska
KONTAKT